News In Theranostics

news article

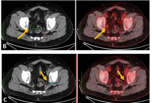
Genetic mutations linked to poor outcomes in Pluvicto patients

Mon Feb 23 2026

news article

ICPO and UroTeragLATAM signed a strategic agreement to accelerate Theranostics for urological cancer in Latin America

Fri Feb 27 2026

news article

Twist Bioscience Expands Antibody Discovery Offering with Bispecific Licensing Agreement

Tue Feb 17 2026

news article

AdvanCell Showcases Novel TheraPb Phase 2 Study Design of ADVC001 for the Treatment of Metastatic Prostate Cancer at ASCO GU Symposium 2026

Tue Feb 24 2026

news article

BIOEMTECH AND NORTHSTAR MEDICAL RADIOISOTOPES ANNOUNCE STRATEGIC SUPPLY AGREEMENT FOR ACTINIUM-225 TO SUPPORT PRECLINICAL RADIOPHARMACEUTICAL RESEARCH

Tue Feb 17 2026

news article

MOLECULAR PARTNERS SIGNS DEVELOPMENT AGREEMENT WITH ECKERT & ZIEGLER FOR TARGETED ALPHA RADIOTHERAPEUTICS

Thu Feb 26 2026

news article

Curium Announces Pharmacokinetics and Dosimetry Data for Investigational Lutetium-177 Zadavotide Guraxetan in Metastatic Castration-Resistant Prostate Cancer at ASCO GU 2026

Thu Feb 26 2026

news article

ITM to Announce Phase 3 COMPETE Trial Post-Hoc Subgroup Analysis in Pancreatic Neuroendocrine Tumors and Host Satellite Symposium at ENETS 2026

Wed Feb 25 2026

news article

225Ac-PSMA-Trillium achieves high PSA responses in phase 1 PAnTHa trial

news article

Suppliers are investing in production to support deals with AstraZeneca, Bayer and other drugmakers that are advancing radioisotope-based cancer therapies.

Tue Feb 17 2026

news article

Co-PSMA: Cu-64 SAR-bisPSMA more than doubled prostate cancer lesion and patient detection vs. Ga-68 PSMA-11 in head-to-head trial

Mon Feb 16 2026

news article

Atley, Stanford University and Telix Pharmaceuticals launch collaborative project to establish At-211 supply chain in California

Tue Feb 10 2026

news article

Stanford Radiology to Advance Access to Astatine-211 Through New Collaboration with Atley Solutions and Telix Pharmaceuticals

news article

SOFIE Biosciences Announces First Patient Dosed in [18F]FAPI-74 Phase 3 Study for Pancreatic Cancer

news article

Niowave and Novartis Enter Global Actinium-225 Supply Agreement to Advance Next-Generation Cancer Therapies

Wed Feb 11 2026

news article

Oncidium Foundation 2025 Impact Report

Mon Feb 02 2026

news article

PSMA-PET predicts patient responses to Ac-225-based RPT

Fri Jan 30 2026

news article

Novel Combined PET Imaging Approach Personalizes Treatment for Head and Neck Cancer

Tue Jan 27 2026

news article

AdvanCell Announces Collaboration and Exclusive Licensing Agreement with 48Hour Discovery to Develop a Novel Peptide-Based Lead-212 Radiotherapeutic for a Gastrointestinal Cancer with Signifi

news article

The Current Status of Nuclear Medicine in Africa

Wed Jan 21 2026

news article

Atley and Perceptive Announce Strategic Collaboration Focused on Astatine-211

news article

Claudin 18.2 as a Biomarker for Imaging and Radiopharmaceutical Therapy in Gastric and Pancreatic Tumors

Thu Jan 08 2026

news article

New theranostic pairing shows promise for upper gastrointestinal tumors

Tue Jan 13 2026

news article

Nectin-4 PET for predicting enfortumab vedotin dose-response in urothelial carcinoma

Wed Jan 07 2026

news article

Niowave expands supply agreement with AstraZeneca

Thu Dec 18 2025

news article

RadioMedix secures Th-228 supply

Wed Dec 17 2025

news article

Theranostic pair ready for testing in lung cancer

Thu Jan 08 2026

news article

Curium’s Investigational New Drug Application Accepted by Center for Drug Evaluation in China

Wed Jan 07 2026

news article

ARTBIO Announces Dosing of Two Cohorts with AB001 in ARTISAN, a Phase 1 Alpha Radioligand Therapy Clinical Trial for Metastatic Castration Resistant Prostate Cancer

news article

Bayer to expand into molecular imaging with acquisition of innovative pan-amyloid radiotracers from Attralus

news article

Targeted β−-Particle Plus Conversion and Auger-Electron Therapy with 161Tb-Labeled Somatostatin Receptor Antagonist DOTA-LM3: A Phase 0 Study

Mon Dec 29 2025

news article

BAMF Health and Henry Ford Health Partner to Establish Comprehensive Theranostics Center in Detroit

news article

Zonsen PepLib Biotech and Novartis Sign Worldwide License Agreement regarding Radioligand Therapy Asset

news article

Novartis to add radioligand therapy manufacturing facility in Winter Park, Florida, fourth in US to serve patients and advance $23 billion investment

Fri Jan 09 2026

news article

AtomVie signs supply agreement with Ionetix for Ac-225 development

Thu Dec 18 2025

news article

What a New Meta-Analysis Reveals About PET/CT Radiotracers for csPCa

Thu Feb 06 2025

news article

Radiopharmaceuticals and their applications in medicine

Sat Jan 03 2026

news article

Shine completes Lantheus SPECT acquisition, names CEO

Fri Jan 02 2026

news article

First-in-Human Study of the Carbohydrate Nanoparticle 64Cu-Macrin

Thu Dec 04 2025

news article

Cellectar Biosciences Announces Strategic Supply Agreement with Ionetix for Actinium-225 and Astatine-211 to Advance Targeted Alpha Therapies

news article

PharmaLogic Announces Successful Supply of First Cohort Dosing for Ratio Therapeutics' Phase 1/2 Study of a Novel FAP-Targeted Radiopharmaceutical in Late-Stage Aggressive Sarcomas

news article

SNMMI, EANM, and ARTnet Launch Unified PET Accreditation to Improve Clinical Trials and Patient Care

news article

Ratio Therapeutics has Successfully Dosed the First Cohort in its Phase 1/2 Study Evaluating a Novel FAP-Targeted Radiopharmaceutical in Patients with Late-Stage Aggressive Sarcomas

news article

ATNM-400 Targets B7-H3 and Is Being Studied in a Phase 1 Clinical Trial in South Africa

news article

Radioligand therapy of pancreatic ductal adenocarcinoma using an αvβ6-integrin targeting 68Ga / 177Lu labeled theranostic pair

news article

AdvanCell Receives First Delivery of High-Activity Thorium-228, Highlighting a Unique Industry Capability and Expertise Essential to Scaling Lead-212 Production for Targeted Alpha Therapies

news article

Journal of Nuclear Medicine Technology Supplement Highlights Advances in Theranostics and Opportunities for Growth

news article

AdvanCell Initiates Phase 2 Expansion Trial of ADVC001, a Novel Targeted Alpha Therapy for Prostate Cancer

Tue Dec 02 2025

news article

Orano Med enters Next Phase of Collaboration with Roche

news article

ZIRCON-X Analysis: TLX250-CDx Impacts Clinical Decision Making for Almost Half of Patients with Indeterminate Renal Masses

Thu Nov 20 2025

news article

RADIOPHARMACEUTICAL RESEARCH AGREEMENT SIGNED WITH NORTHSTAR MEDICAL RADIOISOTOPES | NORTHSTAR MEDICAL RADIOISOTOPES, LLC

Wed Nov 12 2025

news article

Next-Generation Targeted Alpha Therapy using Astatine Shows Promise in Thyroid Cancer Resistant to Conventional Treatment

news article

Curium Establishes Legal Entity in China

Wed Dec 03 2025

news article

UCLA Health launches Department of Nuclear Medicine and Theranostics

Tue Nov 18 2025

news article

ITM Receives U.S. FDA Fast Track Designation for ITM-94 as a Diagnostic Agent for Clear Cell Renal Cell Carcinoma

Mon Nov 17 2025

news article

Novartis Opens New 10,000-Square-Foot Radioligand Therapy Manufacturing Facility in California

Wed Nov 12 2025

news article

ITM Receives U.S. FDA Fast Track Designation for ITM-94 as a Diagnostic Agent for Clear Cell Renal Cell Carcinoma

news article

Radiopharm Theranostics Announces 50% Enrollment in Phase 2b Clinical Trial of RAD101 Imaging in Brain Metastases

news article

WSAUA 2025: Impact of PSA Doubling Time and Absolute PSA on PSMA PET Positivity in Post-Prostatectomy Biochemical Recurrence

Wed Nov 12 2025

news article

Rapid Growth of Radiopharmaceutical Therapy Highlights Need for Expertise

Tue Nov 11 2025

news article

Clarity Pharmaceuticals’ copper theranostics platform delivers superior prostate cancer imaging results

Tue Oct 21 2025

news article

Facet Life Sciences and XCancer Announce Strategic Partnership to Advance Theranostic Clinical Trials

Thu Nov 06 2025

news article

Theranostics Market to Reach USD 12.5 Billion by 2034

Tue Nov 11 2025

news article

OPALESCENCE Trial Published in EJNMMI: Confirms Theranostic Potential of TLX250-CDx in Breast Cancer

Wed Nov 12 2025

news article

FDA greenlights phase 1 trial of theranostic radiopharmaceutical for mCRPC

news article

ITM Announces Analyses from Phase 3 COMPETE Data Showing Higher Objective Response Rates with n.c.a. 177Lu-edotreotide (ITM-11) vs. Everolimus Across Subgroups of Patients with GEP-NETs at NA

Sat Oct 25 2025

news article

Alpha Fusion Initiates Company-Sponsored Clinical Trial of Alpha-Emitting Radiopharmaceutical af-001 in Patients with Differentiated Thyroid Cancer

Fri Oct 31 2025

news article

SpectronRx begins commercial production of Actinium-225 for cancer therapies

Mon Nov 03 2025

news article

ESMO: AlphaMedix™ phase 2 data support first-in-class potential of new targeted alpha therapy in gastroenteropancreatic neuroendocrine tumors

Mon Oct 20 2025

news article

Radiopharm Theranostics Provides Positive Clinical Updates Across Four Programs

news article

Curium Group, PeptiDream and PDRadiopharma Enroll First Patient to Registrational Clinical Trial of 64Cu-PSMA-I&T for Prostate Cancer in Japan

Wed Oct 15 2025

news article

AdvanCell’s 212Pb-ADVC001 demonstrates encouraging safety and compelling anti-tumor activity in Phase 1b in prostate cancer

Sat Oct 18 2025

news article

Clarity signs copper-67 Supply Agreement with Nusano

Thu Oct 16 2025

news article

Perspective Therapeutics Presents Updated Interim Data from its Ongoing Phase 1/2a Clinical Trial of [212Pb]VMT-α-NET at the ESMO Congress 2025

Mon Oct 20 2025

news article

Co-PSMA trial achieves primary endpoint

Tue Oct 14 2025

news article

NUCLIDIUM Presents Positive Phase I/II Results for First Copper-based PET Diagnostic in Neuroendocrine Tumors at EANM Congress 2025

Wed Oct 08 2025

news article

High-Speed Whole-Body SPECT Tracks Tumor Evolution to Optimize Prostate Cancer Treatment

Mon Oct 13 2025

news article

ESMO 2025: Phase III Trial of [177Lu]Lu-PSMA-617 Combined with ADT + ARPI in Patients with PSMA-Positive Metastatic Hormone-Sensitive Prostate Cancer (PSMAddition)

Tue Oct 21 2025

news article

Perspective Therapeutics Announces First Patient Dosed with PSV359 in the Second Cohort of a Phase 1/2a Study in Patients with FAP-α Positive Solid Tumors

Thu Oct 02 2025

news article

First-Line [177Lu]Lu-PSMA-617 Therapy Without ADT, Chemotherapy, or Local Therapy for Metastatic Hormone-Sensitive Prostate Cancer

Mon Sep 29 2025

news article

Lantheus and GE HealthCare Announce Exclusive Licensing Agreement for Prostate Cancer Imaging Agent PYLARIFY® (Piflufolastat F 18) in Japan

Thu Sep 25 2025

news article

TerraPower, Evergy and the State of Kansas announce agreement to explore advanced nuclear energy deployment

Tue Sep 23 2025

news article

Perspective Therapeutics Progresses Dose Finding for [212Pb]VMT01 in Combination with Nivolumab in its Ongoing Phase 1/2a Study of MC1R-Positive Metastatic Melanoma

Mon Sep 15 2025

news article

Orano Med achieves key milestone in French ATEF facility construction, an essential asset for large-scale production of innovative lead-212-based therapies

Fri Sep 12 2025

news article

Clarity confirms US-based manufacturing in response to newly announced tariff on pharmaceuticals

Fri Sep 26 2025

news article

New PET Tracer Enables Same-Day Imaging of Triple-Negative Breast and Urothelial Cancers

Sat Sep 20 2025

news article

Cellectar Biosciences and ITM Enter Supply Agreement for GMP-Grade Actinium-225

Thu Sep 11 2025

news article

ARTBIO Announces FDA Clearance of IND Application for Lead Alpha Radioligand Therapy AB001

Tue Sep 09 2025

news article

Astatine-211—Towards In Vivo Stable Astatine-211 Labeled Radiopharmaceuticals and Their (Pre)Clinical Applications

Mon Sep 01 2025

news article

Radiopharmaceutical production gets boost from radium transfers to U.S.

Fri Aug 22 2025

news article

Telix and FDA Agree on Resubmission Pathway for TLX101-CDx (Pixclara®) U.S. NDA

Tue Sep 09 2025

news article

New Targeted Radiation Therapy Shows Near-Complete Response in Rare Sarcoma Patients

Wed Sep 17 2025

news article

New Radiotheranostic Targets Identified for Diagnosis and Treatment of Endometrial Cancer

Thu Sep 04 2025

news article

Lesion Analysis of 18F-Metafluorobenzylguanidine PET Imaging in Neuroblastoma

Thu Sep 04 2025

news article

Prediction of TP53 mutations across female reproductive system pan-cancers using deep multimodal PET/CT radiogenomics

Sun Aug 31 2025

news article

PSMA PET/CT prior to salvage radiotherapy improves overall survival for prostate cancer patients: Real-world data from an entire country

Wed Aug 13 2025

news article

Asta Bio and Alpha Nuclide Collaborate to Advance Preclinical and Clinical Development of 211-Astatine Targeted Radiotherapies in China

Fri Aug 15 2025

news article

Enhanced activity localization and microscale dosimetry in alpha-emitter radiopharmaceutical therapy using integrated autoradiography and histological imaging

Thu Aug 14 2025

news article

Catalyst MedTech launches nuclear medicine tech training program

Tue Aug 12 2025

news article

PSMA PET/CT Facilitates Better Long-Term Survival Rates After Salvage Radiotherapy for Recurrent PCa

Wed Aug 13 2025

news article

Mayo Clinic treats first person in the US with a novel radiopharmaceutical therapy for breast cancer

Fri Aug 01 2025

news article

FDA accepts Lantheus’ NDA for new Pylarify formulation

Wed Aug 06 2025

news article

Novel Radioimmunotherapy Eradicates Cancer Stem Cells in Ovarian Cancer Model

Thu Jul 24 2025

news article

SERB Pharmaceuticals Agrees to Acquire Y-mAbs Therapeutics

Tue Aug 05 2025

news article

From CAR-T to RLT: Enhancing Precision Oncology with ARTBIO’s Radioligands

Tue Aug 05 2025

news article

Prognostic and predictive value of baseline PSMA-PET total tumour volume and SUVmean in metastatic castration-resistant prostate cancer in ENZA-p (ANZUP1901): a substudy from a multicentre, o

Tue Aug 05 2025

news article

Francesco Massari: The Prognostic Role of 68Ga-PSMA-PET/CT in Metastatic Hormone-Sensitive Prostate Cancer

Tue Aug 05 2025

news article

Mayo Clinic treats first person in the US with a novel radiopharmaceutical therapy for breast cancer

Fri Aug 01 2025

news article

Production and purification of research scale 161Tb using cation-exchange semi-preparative HPLC for radiopharmaceutical applications

Tue Apr 22 2025

news article

SNMMI 2025: Head-to-Head Comparison of mpMRI, PSMA, and GRPR PET/CT for Local Staging of Primary Prostate Cancer: Results from a Prospective, Single-Arm, Single-Center Multimodal Imaging Tria

news article

Nucleotron MIT and bioaccess® Launch Synapse Latam to Revolutionize Theranostics and Clinical Research Across Latin America

Sat Jul 19 2025

news article

Targeting Glioblastoma with Precision: The Promise of Lutetium-177 ITM-31

Thu Jul 10 2025

news article

SNMMI 2025: STARLiT: Stereotactic Body Radiotherapy and 177Lu PSMA-617 in Locally Advanced Prostate Cancer

Thu Jul 24 2025

news article

Improving Access to Nuclear Medicine: An Interview with SNMMI President Jean-Luc C. Urbain, MD, PhD

Mon Jun 30 2025

news article

Groundbreaking Cancer Therapy Clinical Trial with U.S. Department of Energy’s Accelerator-Produced Actinium-225 Set to Begin this Summer

Wed Jun 18 2025

news article

Alpha Fusion, Inc. and Curadh MTR, Inc. to Enter into Strategic Partnership to Advance Global Development of Astatine-211 Based Radiopharmaceuticals

Mon Jun 30 2025

news article

Ratio Therapeutics secures isotope supply deal with Nusano for radiopharmaceutical development

Mon Jun 23 2025

news article

PharmaLogic Completes Acquisition of Majority Stake in Agilera Pharma AS

Mon Jun 23 2025

news article

ITM and Debiopharm Announce First Patient Imaged in New Study Arm of Phase 1/2 Trial Evaluating ITM-94 as Diagnostic Agent for Clear Cell Renal Cell Carcinoma (ccRCC)

Mon Jun 23 2025

news article

SABRE topline results: Cu-64 SAR-Bombesin is effective in detecting prostate cancer recurrence in patients with negative SOC imaging

Fri Jun 13 2025

news article

SNMMI: PET imaging improves OMD detection in breast cancer patients

Mon Jun 23 2025

news article

SNMMI: Botox May Facilitate Relief from Dry Mouth Side Effect of PSMA-Targeted Radiopharmaceuticals

Wed Jun 25 2025

news article

PanTera produces and supplies first Actinium-225 extracted from Thorium-229 in Belgium.

Thu Jun 12 2025

news article

CLARITY PHARMACEUTICALS EXPANDS MANUFACTURING

Tue Jun 17 2025

news article

Blue Earth Therapeutics: SNMMI Presentation of Results from Lutetium (177Lu) rhPSMA-10.1 Injection Phase 1 Clinical Trial

Wed Jun 25 2025

news article

Nusano Stable Isotope Program Enriches Gadolinium-160 to 99.2% Purity

Tue Jun 10 2025

news article

Telix’s Illuccix® PSMA-PET Imaging Agent Approved in Germany

Thu Jun 05 2025

news article

Rhenium Obisbemeda Improves Survival in Recurrent Glioblastoma

Fri May 30 2025

news article

Radiopharm’s HEAT Is On: First Patient Dosed in Pioneering HER2 Trial

Tue Jun 03 2025

news article

Novartis Pluvicto™ demonstrates statistically significant and clinically meaningful rPFS benefit in patients with PSMA-positive metastatic hormone-sensitive prostate cancer

Mon Jun 02 2025

news article

Perspective Therapeutics Highlights Updated Interim Data from its Ongoing Phase 1/2a Clinical Trial of [212Pb]VMT-α-NET at the 2025 ASCO Annual Meeting

Fri May 30 2025

news article

[68Ga]Ga-PSMA-11 PET/CT and [18F]Fluorocholine PET/CT in Assessment and Clinical Decision Making of Recurrent Prostate Cancer: A Prospective Crossover Trial

Wed May 28 2025

news article

First patient imaged in Phase III AMPLIFY trial with 64Cu-SAR-bisPSMA PET/CT

Thu May 29 2025

news article

New Combination Therapy Safe and Feasible for Neuroendocrine Tumor Patients

Wed May 21 2025

news article

Blue Earth Therapeutics initiates Phase 2 Clinical Trial evaluating the efficacy and safety of Lutetium (177Lu) rhPSMA-10.1 Injection in metastatic castrate resistant prostate cancer

Thu May 01 2025

news article

ITM and Radiopharm Sign Supply Agreement for n.c.a. Lutetium-177

Mon May 19 2025

news article

Radiopharm Theranostics Accelerates 177Lu-RAD204 Phase 1 Dose Escalation Clinical Trial Based on Positive Recommendation from Data Safety and Monitoring Committee (DSMC)

Mon May 12 2025

news article

Ratio Therapeutics to construct radiopharmaceutical facility

Thu May 08 2025

news article

Novel Radiolabeled Antibody Developed for Diagnosis and Treatment of Solid Tumors

Thu Apr 17 2025

news article

Y-mAbs Announces First Patient Dosed in Phase 1 Clinical Trial Evaluating CD38-SADA Pre-targeted Radioimmunotherapy in Relapsed/Refractory Non-Hodgkin Lymphoma

Fri Apr 25 2025

news article

SPECT/CT predicts overall survival in Pluvicto patients

Fri Apr 25 2025

news article

Radiopharm Theranostics Doses First Patient with 18F-RAD101 in U.S. Phase 2b Imaging Study of Brain Metastasis

Mon Apr 28 2025

news article

Clarity signs high-volume commercial-scale copper-64 Supply Agreement with Nusano

Thu Apr 17 2025

news article

Novel Radiolabeled Antibody Developed for Diagnosis and Treatment of Solid Tumors

Thu Apr 17 2025

news article

IPAX-Linz Study Reports Promising Efficacy for TLX101 Glioma Therapy Candidate

Wed Apr 16 2025

news article

SECuRE trial update: First patient treated in the Phase II Cohort Expansion

Tue Apr 15 2025

news article

AdvanCell proudly announces $18M in Federal Funding from the Medical Research Future Fund (MRFF) Frontiers Initiative for ‘Defeating Prostate Cancer with Targeted Alpha Therapy’

Fri Apr 11 2025

news article

Curium enhances its PET manufacturing capacity and expands European footprint with the acquisition of Nucleis

Thu Apr 10 2025

news article

PharmaLogic to Acquire Majority Stake in Agilera, Strengthening Global Expertise in Radiopharmaceutical Therapeutics

Wed Apr 09 2025

news article

Akiram Therapeutics initiates Eurostars-funded collaboration to develop next-generation targeted alpha-therapeutics

Fri Apr 04 2025

news article

Telix Announces First Patient Dosed in First-in-Human ZOLAR Trial of TLX300-CDx in Advanced Soft Tissue Sarcoma

Wed Apr 02 2025

news article

FDA Approves Expanded Label of Novartis’ Prostate Cancer Treatment, Pluvicto

Fri Mar 28 2025

news article

Perspective Therapeutics Announces First Patient Dosed with [212Pb]VMT01 in Combination with Nivolumab in a Phase 1/2a Study of MC1R-Positive Metastatic Melanoma

Mon Mar 17 2025

news article

Telix Adds Lead-212 Isotope Production Capability

Thu Mar 13 2025

news article

Novel Radiotracer Identifies Biomarker for Triple-Negative Breast Cancer

Tue Mar 11 2025

news article

177-Lutetium-PSMA vs Cabazitaxel: A Real-World mCRPC Study - Mike Wenzel

Mon Mar 03 2025

news article

FES-PET shows promise staging patients with low-grade breast cancer

Tue Mar 04 2025

news article

Eckert & Ziegler Enters Strategic Partnership with Bicycle Therapeutics

Thu Feb 27 2025

news article

Plus Therapeutics Advances Lead Drug Rhenium (186Re) Obisbemeda for Patients with Leptomeningeal Metastases

Wed Feb 26 2025

news article

FDA Accepts BLA for TLX250-CDx (Zircaix®) for Kidney Cancer Imaging, Grants Priority Review

Wed Feb 26 2025

news article

ASCO GU 2025: Seeing Is Believing: Radiographic Criteria to Assess Response

Thu Feb 13 2025

news article

New PET tracer developed for breast cancer

Fri Feb 14 2025

news article

Radiopharmaceutical Industry Trends Shaping 2025

Thu Feb 20 2025

news article

JNM Publishes Procedure Standard/Practice Guideline for Fibroblast Activation Protein PET

Fri Jan 24 2025

news article

Dosimetry key in Lu-177 cancer therapy

Wed Feb 05 2025

news article

Longtime manufacturer ITM's lead radiotherapy outperforms standard of care in phase 3 neuroendocrine tumor trial

Tue Jan 28 2025

news article

Nusano and Atley Solutions in Collaboration to Accelerate Astatine-211 Development

Thu Jan 16 2025

news article

Clarity to present COBRA and CLARIFY abstracts at two world-leading conferences

Tue Jan 28 2025

XCancer

© 2021 XCancer Software LLC

Contact XCancer: 402-991-8468